靶点解惑|分离胶、高压锅……细数那些Iba1检测值得注意的实验关键
Iba1 由于蛋白的特殊性质,在实验中需要特别注意。
小艾这次整理了在不同实验中检测这个蛋白的注意事项,帮助您获得预期实验结果。
Iba1 实验关键点
Iba1 简介

图1. M-CSF 介导的小胶质细胞激活通路。
Iba1 是一个 17kD 的蛋白。当遇到动脉损伤时血管中的 Iba1 表达上调。通过 IFN-γ, IL-1β 或 T 细胞条件培养能诱导人血管平滑肌中 Iba1 的表达。接受同种异形心脏移植大鼠的主动脉平滑肌细胞中 Iba1 表达急速上调:mRNA 与蛋白峰值出现在移植后 3-7 天,移植后 10 天开始下降。Iba1 通过缩短细胞周期和改变细胞周期蛋白的表达来促进血管平滑肌细胞增殖。
小艾整理了以下关于 Iba1 实验的注意事项,帮助您成功检测到 Iba1:
Iba1 的 WB 检测
Iba1 的分子量只有 17kD,为了得到理想的 WB 结果,建议:
|
1 |
使用 15% 的分离胶进行 SDS-PAGE。 |
|
2 |
在裂解液中加入足量的蛋白酶抑制剂。 |
|
3 |
使用 Bradford、Lowry 或 BCA 方法对总蛋白进行定量。 |
|
4 |
强烈建议使用阳性裂解液作为对照(如人脾脏组织、THP-1 细胞等,图2)。 |
|
5 |
转膜结束后,使用丽春红染色确认转膜效果。 |
高背景也是 Western Blot 中一个常见的问题。为了减少背景,得到干净、清晰的条带,推荐:
|
1 |
使用 3%-5% 脱脂牛奶室温封闭 1 小时以减少背景。 |
|
2 |
一抗室温孵育 1 小时以减少非特异信号。 |

图2. 检测 Iba1 在各样本中表达情况
左图
Lane 1:人脾脏裂解液
Lane 2:THP-1 全细胞裂解液
右图
Lane 1:小鼠脾脏裂解液
Lane 2:大鼠脾脏裂解液
Lane 3:小鼠睾丸裂解液
Lane 4:大鼠睾丸裂解液
Iba1 的 IHC-P 检测
Iba1 是小胶质细胞和巨噬细胞特异性的钙结合蛋白,参与激活的小胶质细胞的细胞膜皱褶形成和吞噬作用。在 IHC 中常被用来标记活化和静息的小胶质细胞。
对取下的组织进行合适的固定是获得理想 IHC-P 实验的基础。小艾推荐对不同类型与大小的组织进行优化:
|
1 |
组织块一般在 4% 多聚甲醛(PFA)或 10% 中性福尔马林(NFB)固定 18-24 小时。 |
|
2 |
过度固定会遮蔽抗原表位。虽然抗原修复能打开被遮蔽的表位,但如果组织被固定太久(如一星期),进行抗原修复也可能没有信号。 |
|
3 |
推荐在高压锅中进行热抗原修复。 |
|
4 |
检测结果时使用放大系统以得到更强的信号。 |

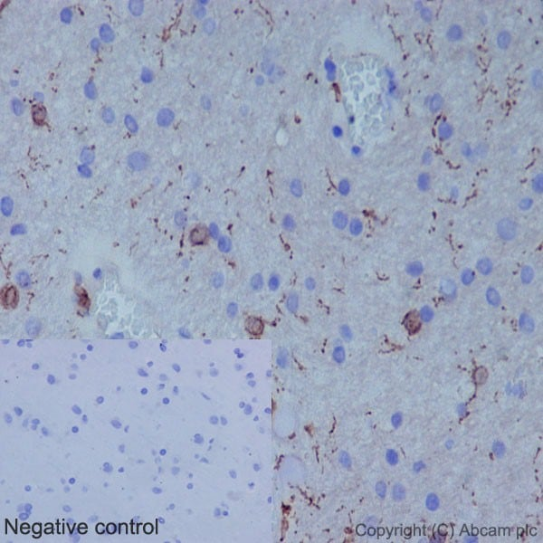
图3. 检测人大脑皮层中 Iba1 表达,使用 HRP 多聚物代替传统二抗系统以放大信号
Iba1 的 ICC/IF 检测
ICC/IF 常用于鉴定蛋白在细胞中的定位。Iba1 由于表达的特异性,常被用做确定小胶质细胞的标志物。
为了得到预期的实验结果,推荐:
|
1 |
使用冷甲醇对细胞进行固定,5min。 |
|
2 |
避免过度固定以防止信号减弱。 |
|
3 |
推荐使用 0.1% Triton-X 100 对细胞进行通透处理。 |
|
4 |
建议根据说明书进行预实验,优化抗体浓度。 |
图4. 检测 U937 中的 Iba1。100% 甲醇固定,0.1% Triton X-100 通透处理。一抗 1:100 稀释。
参考文献
1. M V Autieri, C Carbone, A Mu, Expression of allograft inflammatory factor-1 is a marker of activated human vascular smooth muscle cells and arterial injury. Arterioscler Thromb Vasc Biol. 2000 Jul;20(7):1737-44.
2. U Utans, R J Arceci, Y Yamashita, M E Russell, Cloning and characterization of allograft inflammatory factor-1: a novel macrophage factor identified in rat cardiac allografts with chronic rejection. J Clin Invest. 1995 Jun;95(6):2954-62.
3. M V Autieri, C M Carbone, Overexpression of allograft inflammatory factor-1 promotes proliferation of vascular smooth muscle cells by cell cycle deregulation. Arterioscler Thromb Vasc Biol. 2001 Sep;21(9):1421-6.